2026年3月22日前歯のすきっ歯を1日で治す!削らない「ダイレクトボンディング」とは?
2026年1月12日唇に水ぶくれができた!痛くない透明な粘液嚢胞とは
2025年9月28日歯周病治療・歯石とりとは?頻度や痛み、麻酔することについて
2025年8月14日上顎の痛くないけどかたいできもの口蓋隆起とは?
2025年6月29日前歯のセラミックス審美治療
2025年5月24日インプラント治療の費用や流れについて
2025年4月17日根の治療で膿が溜まっている時の治療法・歯根端切除
2025年2月22日すきっ歯の治療〜埋めるだけのダイレクトボンディング治療〜
2025年1月4日金属やりかえ審美治療〜セラミックス・ダイレクトボンディング
2024年11月1日根の治療で歯茎が腫れて治らないときの歯根端切除術
前歯のすきっ歯を1日で治す!削らない「ダイレクトボンディング」とは?
2026年3月22日
上の前歯の間に隙間がある状態は、専門用語で「正中離開(せいちゅうりかい)」と呼ばれます。見た目が気になるだけでなく、実は歯の健康や日常生活にも影響を与えることがあるため、当院では早めの対処をおすすめしています。
原因は人によって様々ですが、主に以下のような理由が考えられます。
顎と歯のサイズのアンバランス: 顎の骨格が大きかったり、生まれつき歯のサイズが小さかったりすると、スペースが余ってしまい隙間ができます。
上唇小帯(じょうしんしょうたい)の異常: 上の唇と歯茎をつなぐ「スジ」が太かったり、前歯の間に入り込むように付いていたりすると、歯が中央に寄るのを邪魔してしまいます。
日常のクセの影響: 舌で前歯の裏側を押し出すクセや、指しゃぶり、爪噛みなどの習慣が、少しずつ歯を外側に動かしてしまうことがあります。
歯の欠損: 生まれつき歯の数が足りない(先天性欠如)ことで、全体的に隙間ができることもあります。
「見た目さえ気にしなければ大丈夫」と思われがちですが、すきっ歯には以下のようなデメリットも潜んでいます。
虫歯や歯周病のリスク: 隙間に食べカスが詰まりやすく、歯ブラシも当たりにくいため、トラブルの温床になりやすいです。
発音への影響: 隙間から空気が漏れることで、「サ行」や「タ行」、英語の発音などが不明瞭になることがあります。

患者さんのご希望(期間、費用、ご自身の歯を削りたくないなど)に合わせて、最適な治療法をご提案します。
歯の色に似た歯科用プラスチック(レジン)を隙間に直接盛り付けて、隙間を埋める方法です。
メリット: 1回〜数回の通院でスピーディーに完了します。健康な歯を削る量もごくわずか、あるいは全く削らずに済みます。
デメリット: 強い力がかかると欠けることがあり、年月が経つと変色する可能性があります。
歯の表面をわずかに削り、付け爪のようなセラミック製の薄いシェルを貼り付ける方法です。
メリット: 隙間を埋めるだけでなく、歯の色や形も半永久的に美しく整えることができます。変色しにくいのが特徴です。
デメリット: 健康な歯の表面を少し(0.3〜0.5mm程度)削る必要があります。
歯そのものを動かして、隙間を根本から閉じる方法です。前歯だけを動かす「部分矯正」で対応できるケースも多くあります。
メリット: 自分の歯を一切削らずに、根本的な噛み合わせや歯並びの改善ができます。
デメリット: 治療期間が数ヶ月〜年単位でかかり、費用も他の治療より高額になる傾向があります。
「前歯の隙間が気になるけれど、健康な歯を削るのは抵抗がある」「なるべく早く、手軽に治したい」……そんな方にぜひ知っていただきたいのが、ダイレクトボンディングという治療法です。
長年多くの患者さんを診てきましたが、この治療が終わって鏡を見た瞬間に、驚きと喜びに満ちた表情をされる方が非常に多いです。ここでは、その具体的な内容と、メリット・デメリットを専門医の視点から分かりやすく解説します。

ダイレクトボンディングは、歯の色に限りなく近い「歯科用プラスチック(コンポジットレジン)」を、直接歯に盛り付けて形を整える治療法です。
虫歯治療の詰め物と似た素材を使用しますが、審美治療用のレジンはカラーバリエーションが豊富で、透明感やツヤも天然の歯にそっくりです。熟練した歯科医師が、患者さんの歯の色や形に合わせて複数のレジンを重ね合わせ、隙間を自然に埋めるように形を作っていきます。
色合わせ(シェードテイキング): まず、周りの歯の色調を細かくチェックし、違和感のない自然な色味になるよう複数のレジンを選びます。
歯の表面のクリーニング: レジンがしっかりと接着するように、歯の表面の汚れを丁寧に取り除きます。
接着処理: 歯を削るのではなく、表面にレジンがつくための特殊な処理(ごくわずかな凹凸をつける処理)を行います。
盛り付け(ビルドアップ): 隙間を埋めるように、少しずつレジンを盛り付け、筆や専用の器具を使って美しい歯の形を作り上げます。
光照射: 特殊な光を当てて、プラスチックを瞬時に硬く固めます。
研磨(ポリッシング): 最後に、天然の歯と同じような自然なツヤが出るまで、数段階に分けて丁寧に磨き上げます。
どんな優れた治療にも、必ずメリットとデメリットがあります。これらをしっかりご理解いただいた上で決断することが大切です。
【メリット】
健康な歯を削らない(または最小限): 被せ物をする治療のように、健康な歯を大きく削る必要がありません。ご自身の歯を最大限に残せます。
1回の通院で完了する: 型取りの必要がないため、その日のうちに隙間が埋まり、新しい笑顔でお帰りいただけます。(※事前の検査やクリーニングを除く)
費用を抑えやすい: セラミック治療や歯列矯正と比べると、比較的安価に治療が可能です。
やり直しや修正が簡単: 万が一欠けてしまっても、その部分だけを再度盛り足して修復することができます。
【デメリット】
経年劣化で変色・着色することがある: プラスチック素材のため、数年経つと、コーヒーやお茶、タバコなどの色素を吸収して黄ばみが出ることがあります。
強度がセラミックより劣る: 強い衝撃が加わると欠ける可能性があります。前歯で硬いもの(氷、フランスパン、おせんべいなど)を力強く噛みちぎる際には注意が必要です。
歯科医師の技術に左右される: 直接手作業で歯の形を作るため、仕上がりの美しさや持ちの良さは、担当する歯科医師の技術や経験に大きく依存します。
すきっ歯を治したいが、矯正治療のように時間や高い費用はかけられない方
どうしても自分の健康な歯を削りたくない方
近々、結婚式や面接、重要なイベントを控えており、すぐに口元の印象を良くしたい方
少しでも気になった方は、まずは「私の隙間はダイレクトボンディングで治せますか?」とお気軽にご相談にお越しください。実際にお口の中を拝見し、あなたにとってベストな選択となるか、専門的な視点からしっかりアドバイスさせていただきます。
2026年1月12日
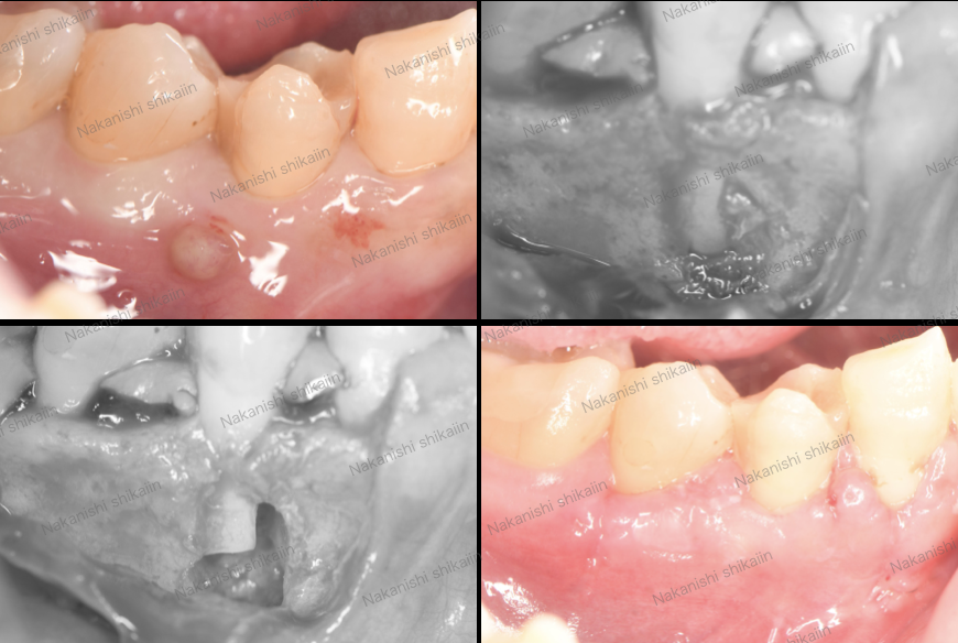
唇に透明な水ぶくれができても、痛くないし放置していいのか?と思ってませんか?それは粘液嚢胞、粘液貯留嚢胞と呼ばれるものかもしれません。特徴は潰れて無くなってもまた再発し、繰り返すものです。痛くないので治療する気になりにくいものですが、根本的に解決しておいた方が良いものです。
粘液嚢胞・粘液貯留嚢胞とは、唇の内側などにできる、痛みのない水膨れのようなものです。これは、唇の内側には、唾液が通る道の唾液腺と呼ばれる小さな管があります。これが、誤って唇を噛むなどすることで唾液が水脹れのように漏れ、結果的に水脹れになります。
生活上では鬱陶しいなどあるかもしれませんが、放置して問題が出るわけでもありません。基本的には何かのはずみで潰れてしまい、中から液体が出てきて、萎んで落ち着きます。ですが、基本的な原因である唾液腺の損傷が治っているわけではないので、再度膨らんできます。「膨らむ⇨つぶれる⇨落ち着く⇨また膨らむ」これを繰り返していきます。
粘液貯留嚢胞の治療法には開窓、切除の2つがあります。開窓とは、そのままですが潰して解放してあげること治癒を促します。この方法は小さくすることが目的であり、いつかは消失しますが、再発することがあります。基本的には、あまりに大きいものであれば一度潰し、範囲を小さくしてから切除するという考え方です。
そしてその切除という方法が2つ目です。先述したように、唾液腺の一部が漏れ出していることが原因のため、その一部を取り除くことで、根本的に解決していく方法です。基本的には再発の傾向は少ないです。
一般的には切除を選択することがほとんどです。開窓という選択肢は患者負担や希望、粘液嚢胞の大きさなど、総合的に判断、選択されます。
粘液貯留嚢胞の治療について、実際のところを説明していきます。写真のように、唇の内側が水脹れのように膨らんでいる箇所があります。これを切除してきます。
まずは該当部位の周りに局所麻酔を行います。その後、切開し、ピンセットで優しく開いていきます。
ぷくっとしているところがわかるでしょうか。これが唾液腺です。写真は、ある程度大きなものを取り除いた後のものです。
切除した唾液腺の写真です。このように、多数の小さな唾液腺を取り除きました。
大きなものから小さなものまであります。主原因は大きなものですが、小さなものを取り除いておかないと、後にこれが膨らんでいき、再発となります。見える範囲で全て取り除くことが大切です。
最後は切開した部分を縫合します。唇は内側は粘膜ですが、外側になれば上皮になるので、優しく縫い合わせていきます。きつく縫合すると、唇につっぱり感が出るので、緩く縫合することが大切です。
約1週間後に抜糸します。その後は何もなければ受診することなく終了です。
粘液貯留嚢胞はよくあるものではありませんが、決して珍しいものでもありません。誤って唇を噛むなどすれば、場合によっては生じる現象です。
放置しても、いつかは潰れて萎んでいき、治ったように見えますが、根本的な唾液の漏れを解決しないと再発します。潰れたところから細菌感染すると二次的な問題が生じる可能性もあります。
放置していても大きな害になるわけではありませんが、根本的に治癒しているわけではないので、タイミングをみて歯科に受診し、治療を受けることをお勧めします。
2025年9月28日
歯周病治療や歯石とりとは、どのようなものかご存知でしょうか。その頻度や痛み、麻酔をすることなど、具体的なところをお話しです。
歯周病とは、歯を支える歯茎や骨が少しずつ減っていく生活習慣病です。一度なると、再発することもよくあるため、定期的な通院が必要になっていきます。ただし、生活習慣病なので、しっかりとケアすれば悪化することなく健康を維持できます。
なお、このように全体的に骨が減っていくと、現在の治療技術では回復しません。現状からいかに悪化させないかが歯周病治療としての課題となります。ちなみにですが、部分的に骨が減っている場合は再生療法により骨が回復します。ここではその詳細は割愛します。
歯石とりとは、歯と歯茎の境目の溝「歯周ポケット」と呼ばれるところにこびりついた汚れを取ることです。歯の表面の汚れは目に見えてわかりやすいですが、実は歯茎の内側に隠れた歯石があります。これを取り除くことが大切です。
なお、この内側の部分は一般的に痛みが出ることが多いので、麻酔を行うことが多いです。
歯周病治療として、歯石とりが必須となります。歯の表面が汚れていれば、必ず歯周病菌が繁殖します。
基本的にはこの汚れをとり、後は日頃の歯ブラシや歯磨き粉の成分などによって歯肉そのものの治癒を待ちます。言い換えれば、汚れが取れても、歯ブラシを丁寧にしないと再び汚れが入っていきます。
歯周病治療として、歯石を行った治療をご紹介です。
写真のように、歯石が歯茎周りに媚びついています。このように汚れがついていると、歯周病菌、バクテリアが溜まるため歯周病が進行するほか、口臭の原因にもなります。歯の裏側にも汚れがついています。このように普段見ない場所、見えない場所ほど汚れ、歯石がつきやすいものです。
歯石とりは歯の表面のものは比較的痛みが出にくいですが、歯茎側になればなるほど、知覚過敏のように痛みが生じやすいため、麻酔を行うことが多いです。麻酔なしでも我慢できる痛みかもしれませんが、それは個人差なので、無難に行けば麻酔をした方が安心です。
下は、麻酔をして歯石をとった後の状態です。歯の表面の汚れ、歯茎周りの汚れが綺麗に取れていることがわかります。
歯茎の赤みが残っています。こればかりは日頃の歯ブラシや歯磨き粉で丁寧に毎日清潔さを保つことで改善していきます。
治療回数ですが、レントゲン検査や初診などは割愛すれば、
・痛くない範囲での全体の歯石とり1回
・麻酔をしての歯石とり6回(右上・上の前歯・左上・右下・下の前歯・左下)
合計7回が一般的な回数です。ただし、それでも歯周病に改善がない場合は歯周外科治療といった次のステップに進むこともありますので、一概にはいえません。ここでは最低でも7回はかかるものという認識をお願いします。
さらに、歯石をとるだけで歯周病治療が終わるわけではなく、その後も再びついてくる歯石を取り除いていかないと行けません。定期的な通院が必要になります。
歯周病治療としての歯石とりについてのお話でした。歯石を取る時は痛いことがあるので麻酔をすることが多いです。時に「歯石とりは痛い」ということを聞きます。奥深いところの歯石をとりにいくので、痛いのです。麻酔をしないと行けない場所を麻酔なしで行えば、それは痛いのは当然です。
もし通院されている歯医者さんでの歯石とりが痛いのであれば、麻酔をしてほしいことを伝えれば良いかと思います。
歯周病治療はさまざまな病態があり「歯石を取れば終わり」という話でもありません。もちろん歯石とりで終わりのときもありますが、実際は人それぞれによって異なります。自分の場合はどうなのか、それはネット検索での内容を参考にしつつも、歯医者さんに行って実際を見てもらうことが大切です。
2025年8月14日
上顎のできもので、かたいけど痛くないものありませんか?これは口蓋隆起と呼ばれるもので、簡単に言えば、上顎の骨が膨張しているものです。放置しても口蓋隆起そのものには問題ありませんが、食事で擦れていたい、火傷するほか、会話での発音障害になることもあり、弊害が出ることがあります。そうなった場合は、治療として切除することが可能です。今回は口蓋隆起についてのお話です。
上顎のかたいできもの口蓋隆起とは、骨の膨張によるものです。そのため痛みを発することはありませんが、カツなど衣がついたもので食事の時に傷ができることがあります。また、あまりに大きいと、発音障害を伴うことがあります。言葉を発する時は舌を上顎につけて発音するため、この口蓋隆起が大きいと邪魔になるというのが理由です。そのほか、入れ歯の人にとっては邪魔になるため、痛みが出ることがあります。
口蓋隆起の原因は、明確な原因はわかっておりません。様々な要因が関係していると言われていますが、中でも歯ぎしり、食いしばりが強い場合、骨が膨張して口蓋隆起として発生することがあります。現に、口蓋隆起がある人にはこの歯ぎしり、食いしばりの傾向が顕著に現れています。
口蓋隆起を放置しても、病的なものではないので問題ありません。ですが、先述した通り、発音時の邪魔になるため発音障害が出ることや、食事の時に粘膜を傷つけて口内炎になりやすいこと、または、入れ歯の人にとってはこの口蓋隆起が邪魔になるため、入れ歯に支障が出ることがあります。
この口蓋隆起は骨の膨張でですが、それを覆っている歯肉が大変薄いため、足のスネのように当たると痛いのです。
結論、口蓋隆起自体には問題ないですが、それによって二次的な問題が発生することがあります。
口蓋隆起を取ることは可能です。基本的に麻酔をし、切除となります。これは保険適応であり、処置時間も30-60分程度です。処置時間は切除部位の範囲、大きさによります。
今回は実際についてのご紹介です。写真のように、上顎にかたいできものがあります。これが口蓋隆起と呼ばれるものです。
局所麻酔をして、粘膜を切開します。切開は形状にもよりますが、Y字を入れることが多いです。
切開し、口蓋隆起つまり骨が出ているところを剥き出しにします。その後、切除して行きます。
切除後、歯肉を縫合します。写真のように、もともと膨らんでいた部分の歯肉のため、縫合すると梅干しのようにシワシワになります。ですが、縫合したのちにガーゼで圧迫し、密着させることで何ら問題はありません。
処置後、数ヶ月後です。綺麗に治り、ここが大きく膨らんでいたとは思えないような状態です。
もう1つご紹介です。今回は入れ歯の方の口蓋隆起です。写真のように口蓋隆起を避けて入れ歯が作成されています。通常この場合は入れ歯の密着度が下がるため、入れ歯が落ちやすくなる傾向にあります。(もちろん必ずしも落ちやすいとは限りません。この形態の入れ歯はよくあります)
麻酔をして、切除して行きます。今回はまっすぐ1本線で切開を入れる予定でしたが、口蓋隆起の広報部が膨らみの大きさがあったため、その場で逆Y字の切開としました。切開線は1本の方が理論的には治りが早いですが、治療後の予後にとっては大きな差にはならず、変わりないため、確実に処置できる切開の選択が望ましいです。
縫合し、治癒を待ちます。
治療後1ヶ月の状態です。上顎のかたいできものがなくなりました。
上顎のかたいできもの、でも痛くないもの、それは口蓋隆起と呼ばれる骨の膨張です。年単位で少しずつ膨らんできますので、気づいた時にはかなりの大きさになっていることが多いです。あるいは、全く気づかずに、歯科医院に検診などで行ったときに偶発的に知ることが多いです。
この口蓋隆起そのものには問題ないですが、それに伴う偶発的な症状(食事で擦れて、火傷をして痛い、などが多いです)があるため、切除を検討することがあります。これは保険適応で、大きさによりますが30−60分程度です。処置後も腫れることはほぼありません。
もし上顎のかたいできもので、食事や入れ歯で弊害が出ている方は、一度、歯科医院の受診をお勧めします。ただし、この口蓋隆起の切除という外科処置を保険適応とは言えども技術的にできる歯科医院、できない歯科医院もあるかと思いますので、そのあたりも確認して受診されるのが良いかと思います。
2025年6月29日
前歯のセラミックス審美治療ですが、利点や欠点はもちろんのこと、失敗したくない、後悔したくないという懸念点もあると思います。今回は前歯のセラミック治療、審美治療についてのご紹介です。
前歯のセラミック審美治療は、周りの歯と比べても違いがわからないような、自然な歯の色合い、形をもつ被せ物の治療です。保険の被せ物では変色や偽物感がどうしても出るので、治療したものの違和感がありコンプレックスになる、口を開けて笑えないといったストレスにつながることもあります。気にするかどうかは人それぞれですが、気になると嫌になってくることもあります。
通常の保険の被せ物はプラスチックをメインにできており、かつ単色のため、全体的にのっぺりとした偽物感が出てしまいます。本来の歯はさまざまな色の組み合わせになりますので、どうしても保険治療では違和感が出てしまうのが欠点です。それがセラミック審美治療になれば、その人の歯の色を細かく再現ができるので、本物の歯のような被せ物が出来上がります。
セラミック審美治療の利点は前述した通り、本物の歯のような見た目なので、一般の方が見ても違いがわからないのが特徴です。かつ変色がないため、常に綺麗さを保つことができます。一方、欠点も把握しておくことが大切です。まずは保険外治療のため実費負担になることです。また、歯ぎしり食いしばりなどで噛む力が強い方は、あまりの強さの衝撃でセラミックが一部っかけてしまう可能性があります。せっかく入れたセラミックが欠けてしまうと悲しいですよね。近年はジルコニアと呼ばれる白い金属とも言われるセラミック素材ができており、その欠点をカバーできるようになってきました。適切な治療、診断のもと、その欠点を克服できるようになったのは大きいところです。
【利点】
・偽物感がなく、本物の歯のように見える。
・歯が綺麗になることで大きく笑うことができる。
【欠点】
・保険外治療のため、実費負担が大きい
・過度の衝撃でかけることがある(ジルコニアという材質が開発されているので、克服しつつある)
前歯のセラミックス審美治療の実際のご紹介です。
写真のように、変色している歯と、斜めに捻じれている歯があります。見た目の雰囲気が気になるところです。
歯の捻じれについては矯正治療が視野に入ります。矯正治療といっても治療期間や費用がネックになるので、そのあたりが患者様と要相談となります。今回はともに神経が無い歯であったので、被せ物にして見た目を改善しようというお話になりました。
神経がない歯は強度も落ちる言われています。被せ物にすることで一定の強度を担保できるのも利点です。もちろん歯が十分に残っている場合は被せ物にする必要はありませんが、最終的には患者様と要相談となります。今回は見た目の改善を目的として、被せ物を作成するために歯を一回り削り、土台という形にしています。

歯型をとり、模型上で歯科技工士がセラミックスの被せ物を作成ます。
被せ物が入った状態です。見た目がかなり改善し、周りと比較しても違和感がない状態です。
ニコッとした時も見た目が綺麗で揃っているので、違和感がなく綺麗な状態です。
前歯のセラミック審美治療についてお話でした。見た目の色や形にコンプレックスがある場合、このセラミック審美治療で綺麗になり、そのコンプレックスが解消される可能性があります。口の中がコンプレックスになると、笑顔が減ってしまうので、その人の印象も大きく変わってしまいます。歯を綺麗にするだけで笑顔が増えれば、その後の人生も大きく変わるかもしれません。
前歯の色合い、形が気になる方は、ぜひ一度、セラミック審美治療を検討されても良いかもしれません。
今回のご紹介した前歯のセラミック審美治療の詳細
【費用】 前歯のセラミックス ¥165,000- × 2箇所 = ¥330,000-
【治療期間】 約2ヶ月
①形を整え、仮歯を作成する
②歯型をとる
③被せ物が入る
【セラミックス治療の利点欠点】
利点:見た目の改善、笑顔が増える
欠点:保険外治療 過度の衝撃でかけることがある
【その他】
歯の捻じれについては矯正治療も選択肢になるが、治療の費用や期間が増える
2025年5月24日
インプラント治療の費用や流れについて、実際の治療写真を見ながらご紹介していきます。インプラント治療は聞いたことがあっても費用や流れがよくわからないことため、漠然と「なんか怖そう」というイメージがあるかもしれません。ですが、治療の内容や流れ、インプラントによって食事が美味しくできるというその恩恵は計り知れません。入れ歯は違和感、歯肉に当たって痛い、十分に噛めない(ご飯が美味しくない)といった欠点があります。もちろん入れ歯でも十分に食事ができる方もいらっしゃいますが、必ずしもそうとは限りません。一方で、インプラントも欠点やリスクがあるため、それについても十分な理解が大切です。今回は、そんなインプラント治療の流れや費用についてのお話です。
インプラント治療は、歯がないところに人工歯根(インプラント)を入れ、被せ物を装着するものです。入れ歯が合わなくて嫌だ、という方が主にされる治療方法です。入れ歯と違い、顎骨でしっかりとした支えがあるため、十分に食事をとることができます。
もちろん、インプラント治療には「利点・欠点」があります。また「入れ歯」という治療選択肢もあります。これらを総合的に検討することが大切です。
インプラント治療の利点・欠点は以下のようなものがあります。
●利点:十分に噛める、食事が美味しくなる
●欠点:外科治療になる、保険外治療になる
●期間:最短で数ヶ月(骨再生を伴う場合や、抜歯を伴う場合は延長されます)
●費用:当歯医者では【1箇所 ¥500,000- 以上】 (自由診療のため、歯科医院によって費用は異なります)
一般的によく言われるのが「保険外で高額になる」ことです。これは、インプラント治療を避けられる一番の理由です。「入れ歯で苦労しているからインプラントにしたいけども高額だから」というところです。もちろん、インプラントが全てではなく、入れ歯が悪いわけではありません。第一選択としては、なんとか入れ歯を使い込んでいただきたいところではあります。
どうして歯科医院によって費用が違うのか、という疑問があるかもしれません。それは、使用する医療機器や医療材料などが歯科医院によって異なるため、それらの分がインプラント治療費用に影響してくるためです。
それではインプラント治療の実際として、写真を通じてご紹介です。
写真のように、奥歯が無い状態のところにインプラント治療を行うことになりました。事前にCT撮影を行い、顎骨がしっかりしているか、骨再生療法が必要かを十分に検討します。もちろん実際はどうなるかわからないので、医療者側もあらゆる想定をして処置の準備を行います。
インプラント手術として、部分麻酔を行い、インプラントを埋入します。処置時間は、埋入だけでは約30分です。ただし、状態によっては骨再生手術を伴うことがありますので、その場合は時間が延びます。今回は骨再生を行わない処置だったので、この30分程度となります。実際の処置時間は【治療前の歯のお掃除、説明、麻酔、処置後のレントゲン】ゆとりを持って90分以上はお時間をいただきます。
なお、インプラント手術の時は、写真のようなパーツ(サージカルガイドと言います)を使います。これは、前もってインプラントを埋入する方向をCT画像で決めておき、このサージカルガイドを用いることで、間違いなく正しい方向に埋入できるものです。
口の中は狭く、3次元的な構造を狂いなく把握することは難しいです。そのため、このような入れるべき方向をガイドしてくれるサージカルガイドというものを用います。逆にこれがないと変な方向にインプラントが進んでいき、下顎の神経を傷つける、あるいは下顎から逸脱した方向にインプラントが入るなどのリスクとなります。これがなくても問題なくインプラント治療が行えることもありますが、安全面を考慮すると、必要な医療器具と言えるものです。
インプラント治療後の状態です。縫合しており、インプラントの一部パーツが見えている状態です。この状態で約2ヶ月経過を待ちます。
なお、骨再生治療を併用するなど、治療部位の状態によっては、歯茎で完全に覆い、写真のようなパーツが見えない状態になることもあります。
インプラント治療後、約2ヶ月経過しています。切開したメスの跡もなくなり、綺麗な状態です。歯型をとり、この上に被せ物を作っていきます。
インプラント治療後の被せ物です。見た目では自分の歯があるような印象になります。
インプラント治療は怖いイメージがあるかもしれません。また保険外治療で高額なので、手が出せないという金銭的な負担もあります。当歯医者では、基本的には保険治療を選択肢として提案しており、保険治療では限界があるところで、保険外治療を提案しております。具体的には、まずは入れ歯を試していただき、入れ歯の調整ではどうしても限界が出てきた時に、インプラント治療をするかどうかとなります。もちろん、入れ歯を介さずにインプラント治療を行うこともありますが、それは患者様とご相談の上で治療方針を決定しております。
インプラント治療は、歯の状態や歯茎の状態によっては再生療法を伴うことがあります。実際にそれを行うのかどうかは診察してみないとわかりません。
もし気になる方は、インプラント治療できるかどうか、費用がどれくらいかなどを含め、相談でも歯医者さんに伺っていただければと思います。

当歯医者でのインプラント治療は以下となります。
・術前検査(CT撮影など) ¥33,000-税込
・インプラント手術(インプラント2箇所) ¥504,000-税込
・被せ物(2箇所) ¥330,000-税込
合計:¥867,000-税込
※治療当時の費用です。費用が変動する可能性があります。
状態によっては骨再生が必要となり、別途費用が追加で発生します。また、必要な箇所についても患者様によって異なります。
2025年4月17日
根の治療で膿が溜まっている時の治療法として、通常の根の治療を行なっても治らないことがあります。その場合、治るまで長期間の経過を見ていくという考え方もできますが、外科的な方法で悪くなっている部位を直接取り除く方法、歯根端切除術があります。今回は根の治療だけでは治癒が見込めなかったため、外科的な歯根端切除術を行なった1例のご紹介です。
通常は根の治療といい、歯の根っこの中の神経の管を通じ、内部に侵入した細菌を消毒、無菌に近づけることで歯茎の治癒を促します。余談ですが、 通常は水酸化カルシウム製剤と呼ばれるものを用います。
この根の治療を通じ、治癒していくかを見届けます。見届ける期間や頻度は、その歯の状態や治り程度にもよりますが、1−2週間に1度、あるいは月に1度のこともあります。
どの程度見届けていくかですが、当院の場合は数ヶ月から半年程度としています。根の治療の学会において、半年で治癒したという論文もあるため、それを目安としています。逆に言えば、半年経過しても治らない場合は外科的処置の検討とします。
ただし、実際に見届ける期間は患者様との相談によります。数ヶ月で外科的に処置することもあれば、半年経過後も、そのまま見届けていくこともあります。基本的には相談の上、治療を選択していただきます。
実際に根の治療だけでは治癒しなかった場合、外科的に歯肉をめくり、内側を確認していきます。写真では、腫れていた箇所に相当する部位が黒く抜けています。これは炎症により骨が溶けてしまい、その空洞部位に膿が溜まっているという状態です。綺麗にしたのち、縫合していきます。
また、掻き出した部分は血液が溜まり、年単位で骨が再生され、周りの骨と変わらない状態になります。
縫合したら、約1週間後に抜糸します。抜糸後は被せ物をしていきます。
根の治療だけでは治癒しないものも、外科的な方法、紫根端切除術をおこなれば高確率で治癒することが論文でも証明され、エビデンスがあります。もちろん、これは治療方法の選択肢なので、実際に行うかは患者様との相談の上で成り立ちます。根の治療をある程度継続しても治癒しない場合は、検討されるのが良いかと思います。
これは保険治療ですが、この外科的治療法を提案してくれる歯医者が少ないのも実情です。提案を受けることなく、抜歯しかないと言われることも多く、そういうものと捉えている患者様も多いのではないでしょうか。
もちろん、状態によっては歯根端切除術で対応できないこともあり、抜歯となる場合もあります。膿が溜まっているからこの治療で全てが治るとは限りません。
もし根の治療で悩んでいる場合は、一度こういう治療法があることを知っていただければ幸いです。セカンドオピニオンも当たり前の時代のため、抜歯と言われて抜歯される前に、このような外科的な治療も選択肢として提案してくれる歯医者さんに巡り合っていただければとも思います。
2025年2月22日
すきっ歯の治療で、埋めるだけで自然に見えるダイレクトボンディング治療があります。すきっ歯は矯正で閉じるか、隙間に詰め物をすることで、自然な歯に見せるダイレクトボンディングかの2択があります。双方ともに利点欠点、費用や期間があるので、その人に合わせた治療の選択が大切です。今回はそのうちのダイレクトボンディングで治療したものをご紹介します。
すきっ歯の治療は【①矯正治療で閉じる ②隙間を詰め物で埋める】の2択があります。それぞれの利点・欠点は以下になります。
(利点)自分の歯で改善できる
(欠点)治療期間が長くなる/費用が比較的高い
(その他)部分矯正で対応できることもあるが、噛み合わせから全体矯正でないとできないことがある
部分矯正の場合:状態によるが、半年1年
全体矯正の場合:状態によるが、2−4年
(利点)1回で終わる/矯正に比べると安価
(欠点)詰め物なので、半年1年でクリーニングがのぞましい。〈経年劣化を防ぐため〉
人によって、全体の歯並びが気になれば矯正治療になり、前歯だけ気になるということであれば、部分矯正、あるいは埋めるだけのダイレクトボンディングとなります。費用も全体矯正となれば100万ほどかかり、期間も年単位となります。部分矯正なら比較的短いですが、半年ほどはかかります。費用も数十万単位です。埋めるだけなら1回で終わることや、費用も比較的安価ですが、所詮は詰め物なので、定期的な手入れが必要となります。
ただ、手入れといってもクリーニングを受けるだけなので、そこまで大変ではありません。健康診断のように、1年に1度は歯医者に行くことがあると思いますので、特別手間が増えるイメージはありません。(歯医者に定期検診に行かないという方にはデメリットにはなります)
すきっ歯を詰め物で埋めるだけのダイレクトボンディングについての1例です。写真のように下顎の前歯に隙間があります。この隙間に詰め物をしていきます。
それぞれの歯の片側ずつに詰め物をすることで、隙間を埋める形になります。
実際の治療の雰囲気です。歯の周りにゴムシート(ラバーダム)をかけます。理由はいくつかあるのですが、簡単にいうと【①薬液が粘膜にかからないようにする ②詰め物の物持ちの向上】が上がります。
歯の治療での詰め物や薬液は光に反応することで効果を発揮するものが多いので、写真のように光を当てることが多いです。このように治療を進めていきます。
治療後の状態です。歯の隙間が詰め物で埋まっています。見た目は自然な状態で、詰め物が入っているようには見えません。
すきっ歯の治療で、前歯を埋めるだけの一例をご紹介しました。実際は治療の選択肢として矯正も入ってくるため、人によっては矯正を希望される方もいらっしゃいます。費用や期間、総合的に検討していただいて治療を進めることになります。例外としてすきっ歯でも歯周病が原因になっていると、歯周病の治療が必須です。
すきっ歯が気になる方は、治療をするかどうかは別問題として、状態や選択肢の相談でも大丈夫ですので、一度歯医者さんにご相談に行くのも良いかと思います。
2025年1月4日
金属のやりかえ、見た目が気になるなどありませんか。審美治療としてセラミックに変えることや、ダイレクトボンディングという小さい範囲の詰め物に特化した審美治療があります。もちろん虫歯がきっかけでやりかえることもありますが、金属アレルギーや食事がおいしく感じないなどの理由からやりかえることもあり、個々の価値観によるところもあります。
今回はそんな審美治療、やりかえの一例のご紹介です。
審美治療とは、前歯などの見た目の審美に特化した治療をイメージされますが、奥歯の金属をセラミックスなどに変えることで、自然の歯に見せることも審美治療の一環です。実は、会話の時に大きく笑ったりすることで、口が大きく開き、下の奥歯もはっきりと金属が見えることがあります。金属があると「見た目が悪い」と感じることもあれば、「虫歯が多い人なんだ」というイメージにもなります。
健康意識の向上やSNSなどの見栄えにフォーカスが当たってきている時代です。できる限り、金属での治療は見た目だけを言えば避けたいところではないでしょうか。
また一方で、金属は虫歯になりやすいという欠点があります。汚れ(プラーク)が本来の歯の表面よりも2倍ほどこびり着きやすいので、口腔衛生上も問題となります。しっかり磨けばいいという考えもありますが、防御力、予防という観点においては金属は不利となります。
審美治療の中には「ダイレクトボンディング」と呼ばれる治療方法があります。これはプラスチックとセラミックスを混在させた詰め物で、小さい範囲に適応されます。言い換えると、噛む力に対してさほど影響を受けない範囲です。
これは即日で治療が可能のため、1回で終わります。ただし、その1回の治療時間が60−90分になることが多いので、それは欠点かもしれません。
【ダイレクトボンディング】
治療回数:即日1回
治療時間: 60−90分
費用:1ヶ所 ¥55,000-
利点:歯をほぼ削らずに治療するので、最小限の侵襲で治療ができる
欠点:範囲が限局されるので、適応するかどうかは噛み合わせなどで判断となる。
1つの歯に対して治療の範囲が大きい場合はセラミックス治療を選択します。先述したダイレクトボンディング治療は小さい範囲に限局したもので、言うなれば噛む力に大きく影響を受けない範囲となります。セラミックスは100%セラミックスとなり、強度が必要な部位に行われます。そのため、歯の噛む面を大きく被覆するような範囲であれば選択されます。
この方法は治療回数に2回必要となります。【①歯型をとる ②セラミックスを装着する】の2回です。
セラミックスは大理石のイメージで、汚れがこびりつきにくいです。そのため口腔衛生上、清潔さを保ちやすい材質でもあります。汚れが停滞しにくいということは歯肉炎、歯周炎の予防にもなり、虫歯にもなりにくいという利点があります。
【セラミックス治療】
治療回数:2回
治療費用:1つにつき「¥77,000-〜¥110,000-」(被覆する範囲によって価格が変動します)
利点:見た目が綺麗・汚れが停滞しないので虫歯や歯肉炎になりにくい
欠点:歯ぎしりなど過度な力でかけることがある
審美治療として金属のやりかえがよくあります。その中に、小さい範囲、大きな範囲などでセラミックス治療かダイレクトボンディング治療かと選択することになります。
金属は歯の汚れが停滞しやすいことから、虫歯になりやすい、歯肉炎になりやすいなど、口腔衛生上、支障が出てきます。これらを予防するためにもセラミックス審美治療を選択することが利点の1つに挙げられます。
一般的には金属は見た目が嫌だというところでやりかえが多いところですが、実は健康面でもプラスに働くということが大きいです。見た目が気にある、あるいは虫歯は避けたいなどの希望があれば、一度歯医者さんに相談するのはいかがでしょうか。
2024年11月1日
根の治療で歯茎が腫れて治らないときありませんか?一般的には根の管を通じて治していく根管治療というもので治療をしていきますが、治らない時があります。その時は外科的な方法、歯根端切除術という方法で対応することになります。
まず、通常は根管治療という従来の方法で治療を継続します。数ヶ月、長くて半年経過しても治らない場合は外科的な方法、歯根端切除を検討します。もちろん、あくまで治療の選択肢なので、そこまでしたくないという方もいるかと思います。医学でもそうですが、治療の選択肢を決めるのは患者様となります。提案した上で、希望されるかどうかとなります。
根の治療、根管治療は言い換えると内科的治療です。管を通じて、根の先の炎症を治していくものです。内科的な方法で治癒が見込めない場合に外科的な方法、歯根端切除術となります。
そのままですが、歯茎を切開すると、歯茎が腫れているところの出来モノや根の先の状態が目視できるので、そこを綺麗にするだけとなります。悪いところを取り除くという、非常にシンプルな発想です。
処置後は歯肉を縫合し、1週間程度で抜糸を行います。その後は経過を見ていくのみとなります。
歯根端切除の実際です。写真のように、歯茎がぷくっと腫れていて、治っていない状態が確認できます。
麻酔をした上で、歯茎を切開し、内側を目視します。根の先に出来モノを確認しました。あとはこれを綺麗に取り除くだけです。
縫合し、約1週間程度で抜糸します。
このように、外科的な治療で最終的には治癒に至ります。
歯根端切除術は外科的な治療方法ですが、基本的にはこれをすれば大抵のものは治ります。
次も似たような状態ですが、写真のように根の治療でも、歯茎が腫れて治っていない状態です。
歯茎を捲ると、根の先と悪い部分が確認できます。これを綺麗に取り除きます。
1週間後の写真です。腫れていた歯肉が治っているのがわかります。
根の治療をしても歯茎が腫れて治らなかった場合の次の一手として「歯根端切除」という外科的な治療方法があります。
これは保険適応の治療方法なので、保険治療をしている歯科医院で治療を受けることができます。
もちろん、すべてのケースで歯根端切除術で治る訳ではありません。歯が割れていた場合はそもそも抜歯となりますし、範囲が大きすぎると不適応となります。
根の治療で歯茎が腫れて、治らない場合、それですぐ抜歯という訳ではありません。
お悩みの方は、一度歯科医院に相談してはいかがでしょうか。